.webp)
Tooth sensitivity typically occurs when the protective enamel layer of a tooth becomes worn or when gum recession exposes the root surface. This exposure allows the dentin layer beneath the enamel to become accessible to temperature changes.
Dentin contains microscopic channels that connect to the nerves inside the tooth pulp. When hot or cold foods come into contact with exposed dentin, temperature changes travel through these channels and stimulate the nerve endings within the tooth.
The most common causes of tooth sensitivity include:
- enamel erosion
- gum recession
- tooth decay
- cracked teeth
- recent dental procedures
Persistent sensitivity may indicate deeper dental conditions that require professional evaluation.
Introduction
Tooth sensitivity to hot or cold foods is one of the most frequently reported dental concerns among adults. Many individuals experience a sudden sharp sensation when drinking cold water, eating ice cream, or taking a sip of hot coffee or tea. In some cases, the sensation appears briefly and disappears within seconds. For others, the sensitivity may occur repeatedly and begin interfering with normal eating and drinking habits.
Although this discomfort may seem minor at first, tooth sensitivity often reflects changes occurring in the protective structures of the tooth. Teeth are designed to tolerate a wide range of temperatures because their outer enamel layer shields the internal structures from external stimuli. When enamel becomes worn or when gum tissue recedes and exposes the root surface of the tooth, the underlying dentin layer becomes vulnerable to temperature changes.
Dentin contains thousands of microscopic channels that connect directly to nerve endings inside the tooth pulp. When hot or cold substances contact exposed dentin, these channels transmit signals that stimulate the nerve tissue inside the tooth. This process produces the sudden sharp discomfort commonly described as sensitive teeth.
At Smiles By Design Dentistry of San Diego, dentists frequently evaluate patients experiencing tooth sensitivity because the symptom can sometimes indicate underlying dental conditions. These may include enamel erosion, gum recession, cavities, structural cracks in the tooth, or infection affecting the tooth pulp. Identifying the underlying cause allows dentists to recommend treatment options that relieve discomfort while protecting the long-term health of the tooth.
Understanding how tooth sensitivity develops, what conditions can cause it, and how dentists diagnose and treat the problem helps patients make informed decisions about their oral health.
What Is Tooth Sensitivity?
Tooth sensitivity, also known as dentin hypersensitivity, is a condition in which exposed dentin reacts strongly to external stimuli such as hot, cold, sweet, or acidic foods. The sensation usually appears as a sudden sharp pain that quickly fades once the stimulus is removed.
Sensitive teeth can affect a single tooth or multiple teeth and may occur occasionally or repeatedly. In many cases the discomfort is mild and temporary. However, persistent sensitivity can indicate underlying dental issues that may require treatment.
The key factor involved in dentin hypersensitivity is the exposure of the dentin layer. When dentin becomes exposed due to enamel loss or gum recession, the microscopic channels inside it allow external stimuli to reach the nerves inside the pulp.
This direct pathway to the nerve tissue explains why sensitive teeth respond quickly and sharply to temperature changes.

- Why Teeth Become Sensitive to Temperature
- To better understand tooth sensitivity, it helps to examine the internal structure of a tooth. Each tooth contains several protective layers that shield the inner nerve tissue from temperature changes and other external stimuli.
- Enamel
Enamel is the hard outer layer of the tooth. It protects the underlying structures from physical wear, acids, and temperature changes. - Dentin
Dentin lies beneath the enamel and contains microscopic tubules that connect to the inner part of the tooth. When enamel becomes worn or exposed, these tubules can transmit sensations such as cold or heat toward the nerve. - Pulp
The pulp is the innermost chamber of the tooth. It contains nerves and blood vessels responsible for sensation and nourishment of the tooth. - When enamel or gum tissue becomes damaged or recedes, dentin may become exposed. This exposure allows temperature changes to reach the nerves more easily, which can lead to tooth sensitivity.

Enamel is the strongest substance in the human body and normally provides an effective barrier against heat, cold, and pressure. However, enamel can gradually wear down due to acidic foods, grinding, or mechanical wear from brushing.
Beneath enamel lies dentin, which is less dense and contains thousands of tiny channels known as dentinal tubules. These channels extend from the outer portion of the tooth toward the pulp chamber.
When dentin becomes exposed, external stimuli can travel through these tubules and stimulate the nerve endings inside the pulp. Because dentin contains many of these channels, the response occurs very quickly, producing the sudden pain associated with sensitive teeth.
Common Causes of Tooth Sensitivity
Several dental conditions can expose dentin and lead to temperature sensitivity. Dentists evaluate multiple factors when determining the cause of tooth sensitivity.
Enamel Erosion
Enamel erosion occurs when acids gradually dissolve the protective enamel layer of the tooth. Unlike cavities, which result primarily from bacterial activity, enamel erosion often occurs due to repeated exposure to dietary acids.
Carbonated drinks, citrus fruits, sports drinks, and certain fruit juices contain acids that can weaken enamel over time. Frequent consumption of these foods exposes teeth to acid repeatedly throughout the day.
Over time, this repeated exposure gradually wears down enamel and allows the dentin layer beneath to become exposed. Once dentin is exposed, temperature changes can reach the nerves inside the tooth much more easily.
Certain medical conditions such as acid reflux may also contribute to enamel erosion by exposing teeth to stomach acid.
Gum Recession
Gum recession occurs when the gum tissue surrounding the teeth gradually pulls away from the tooth surface. When this happens, the root surface becomes exposed.
Unlike the crown of the tooth, which is protected by enamel, the root surface is covered only by a thin layer known as cementum. This layer does not provide the same level of insulation as enamel.
Because the root contains dentin beneath the surface, exposed roots are particularly sensitive to temperature changes.
Gum recession may develop due to several factors including periodontal disease, aggressive brushing techniques, aging, or genetic predisposition.
Dentists often monitor gum recession during routine dental exams because exposed roots increase both tooth sensitivity and the risk of root decay.
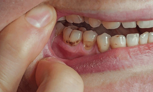
Tooth Decay
Tooth decay is another common cause of sensitivity. Cavities develop when plaque bacteria produce acids that dissolve enamel and dentin.
As decay progresses deeper into the tooth, it may reach the dentin layer and eventually the pulp chamber.
Sensitivity to hot or cold foods may sometimes be one of the earliest signs of a developing cavity.
If untreated, cavities may progress further into the tooth and eventually cause infection within the pulp.
Cracked or Fractured Teeth
Small cracks in tooth enamel may also allow temperature changes to reach deeper structures inside the tooth.
Cracked teeth can occur due to chewing hard foods, teeth grinding, trauma, or structural stress on the tooth.
Even microscopic cracks can create pathways that allow heat or cold to reach the dentin layer.
Patients with cracked teeth often report intermittent sensitivity that occurs when biting or when consuming hot or cold foods.
Recent Dental Procedures
Some dental treatments may temporarily increase tooth sensitivity. Procedures such as teeth whitening, dental fillings, or crown placement can cause temporary irritation within the pulp.
In most cases this sensitivity resolves within several days as the tooth stabilizes and adapts to the treatment.
Dentists often recommend using desensitizing toothpaste (link to Best Toothpaste for Sensitive Teeth) and avoiding very hot or cold foods during the recovery period.
What Happens Inside the Tooth During Sensitivity
The biological mechanism behind tooth sensitivity is explained by the hydrodynamic theory of dentin hypersensitivity.
According to this theory, external stimuli such as cold drinks or hot foods cause fluid movement inside the dentinal tubules.
This movement stimulates nerve endings located inside the pulp chamber. Because dentin contains thousands of these tubules, even small temperature changes can trigger a strong nerve response.
Although the pain usually lasts only a few seconds, repeated stimulation can cause ongoing discomfort if the underlying cause is not addressed.
When Tooth Sensitivity May Indicate a Dental Problem
Occasional mild sensitivity may not indicate a serious issue. However, persistent sensitivity can sometimes signal underlying dental disease.
Patients should consider scheduling a dental evaluation if sensitivity:
- persists longer than several days
- becomes progressively worse
- affects a specific tooth
- causes discomfort when chewing
- occurs alongside swelling or gum irritation
These symptoms may indicate cavities, structural damage, or infection affecting the pulp.
Early diagnosis allows dentists to treat the condition before more complex dental problems develop.

How Dentists Diagnose Sensitive Teeth
Diagnosing tooth sensitivity begins with a comprehensive dental examination. Dentists evaluate the teeth and surrounding gum tissues to identify possible causes.
During the exam dentists may assess enamel wear, gum recession, plaque accumulation, and signs of tooth decay.
Sensitivity tests using air or temperature stimuli may also be used to determine the location of the discomfort.
If deeper problems are suspected, dentists may recommend dental X-rays to evaluate internal structures of the tooth and surrounding bone.
Modern digital imaging systems use very small amounts of radiation and allow dentists to identify hidden cavities or infections accurately.
Treatment Options for Sensitive Teeth
Treatment depends on the underlying cause identified during examination.
Dentists may recommend several approaches to reduce sensitivity and protect exposed dentin.
Desensitizing toothpaste contains compounds that block nerve signals traveling through dentinal tubules. Regular use may gradually reduce sensitivity.
Fluoride treatments strengthen enamel and help protect exposed areas of the tooth.
Dental bonding may be used to cover exposed root surfaces and create a barrier against temperature changes.
If gum recession results from periodontal disease, periodontal therapy may be recommended to control infection and stabilize gum tissue.
In severe cases where infection reaches the pulp, root canal treatment may be necessary to remove infected tissue and relieve pain.
Preventing Tooth Sensitivity
Preventing tooth sensitivity involves protecting enamel and maintaining healthy gum tissues.
Recommended habits include brushing twice daily with fluoride toothpaste, using a soft-bristled toothbrush, and avoiding aggressive brushing techniques.
Limiting acidic foods and beverages can also help protect enamel from erosion.
Routine dental checkups allow dentists to identify early signs of enamel wear or gum recession before sensitivity becomes severe.
Related Articles
- Tooth Sensitivity to Hot or Cold Foods
- Best Toothpaste for Sensitive Teeth
- Tooth Sensitivity After Whitening
- How to Stop Tooth Sensitivity Fast
- Why Are My Teeth Suddenly Sensitive
Clinical Perspective from Dr. Daniel Javaheri
Dr. Daniel Javaheri explains that tooth sensitivity often develops when the protective enamel layer or gum tissue becomes compromised. Identifying the cause of sensitivity allows dentists to recommend treatments that protect the tooth and reduce discomfort.
At Smiles By Design Dentistry of San Diego, dentists evaluate tooth sensitivity through clinical examination and diagnostic imaging when necessary. Early evaluation helps prevent minor enamel damage from progressing into more complex dental conditions.
Preventive dental care and early treatment remain important factors in maintaining comfortable and healthy teeth.


.webp)
.webp)
%20(1).webp)